
Veneer
วี เ นี ย ร์
วีเนียร์คืออะไร?
วีเนียร์ (Veneer) หมายถึงกระบวนการที่ทำให้ฟันดูสวยงามและดีขึ้นด้วยการติดชั้นผิวบางๆ ที่ทำจากวัสดุที่เรียกว่า "วีเนียร์" เป็นวิธีการปรับปรุงรอยยิ้มเพื่อแก้ปัญหา เช่น รูปร่างฟัน ฟันสั้น ฟันเหลือง หรือ ช่องว่างระหว่างฟัน รวมถึงการเรียงตัวของฟัน วัสดุที่ใช้สร้างวีเนียร์ส่วนมากจะเป็นเซรามิค (Ceramic) หรือคอมโพสิต (Composite) ที่มีคุณสมบัติที่เหมาะสมสำหรับการเป็นชั้นเคลือบบนฟัน

Ceramic veneer vs Composite veneer
-
วีเนียร์เซรามิก (Ceramic Veneer) ผลิตจากวัสดุเซรามิกชนิดพิศษสำหรับทันตกรรม ให้ความขาวเงาใส เนียนสวยเหมือนเคลือบฟันธรรมชาติมาก มีความแข็งแรงทานทานสูงและไม่ติดสีอาหาร อายุการใช้งานนานกว่า 10-15 ปี หรือตลอดทั้งชีวิต ขึ้นอยู่กับการดูแล จึงเป็นที่นิยมในการทำวีเนียร์มากที่สุด
-
วีเนียร์คอมโพสิต (Composite Veneer) ผลิตจากวัสดุชนิดเดียวกับวัสดุที่ใช้ในการอุดฟัน ดูคล้ายฟันจริง ขาดความเงา ยังคงให้ความสวยงาม เมื่อใช้ไปเกิน 4 – 5 ปี อาจมีการเปลี่ยนสี หรือ ติดสีจากอาหารที่รับประทานได้ง่าย ราคาย่อมเยาว์กว่าเซรามิกวีเนียร์
วีเนียร์อยู่ได้นานแค่ไหน
วีเนียร์ มีอายุการใช้งานเฉลี่ยมากกว่า 10 – 15 ปี ขึ้นกับการใช้งานและการดูแลรักษาของแต่ละบุคคล

ทันตแพทย์ปรินทร์ เจียระนันท์
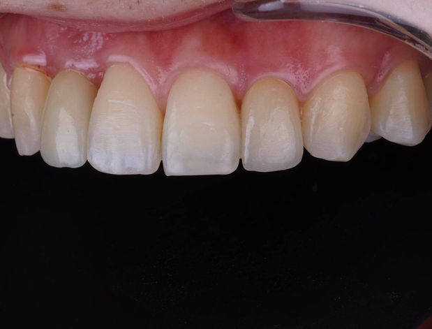
ตัวอย่างเคสวีเนียร์โดยคุณหมอไปป์ (ทันตแพทย์ปรินทร์ เจียระนันท์)




ทันตแพทย์ฐานัส ลิ่ววัฒนากรณ์
Esthetics & Implant dentist, D.D.S., CU
• Veneer | Smile Designer
ตัวอย่างเคสวีเนียร์โดยคุณหมอเป๊ก (ทันตแพทย์ฐานัส ลิ่ววัฒนากรณ์)
ตัวอย่างเคสรากเทียมพร้อมครอบฟันหน้า + วีเนียร์แก้ขนาดฟ้น


![]() | ![]() | ![]() |
|---|---|---|
![]() | ![]() | ![]() |
![]() | ![]() | ![]() |
![]() | ![]() | ![]() |
![]() | ![]() | ![]() |
![]() | ![]() | ![]() |
![]() | ![]() | ![]() |
![]() | ![]() | ![]() |
![]() | ![]() | ![]() |
![]() | ![]() |
![Artboard 1[7996].png](https://static.wixstatic.com/media/3ae7f3_2555c3ed501b43f289e08e022da9e796~mv2.png/v1/fill/w_489,h_333,al_c,q_85,usm_0.66_1.00_0.01,enc_avif,quality_auto/Artboard%201%5B7996%5D.png)
Our location
คลินิกตั้งอยู่ใกล้ โซนราชพฤกษ์ ตลิ่งชัน ถนนบรมราชชนนี ถนนกาญจนาภิเษก ถนนพุทธมณฑล
มีที่จอดรถให้บริการ





















































